〈健康PLUS〉 各種の話題 2025年10月4日

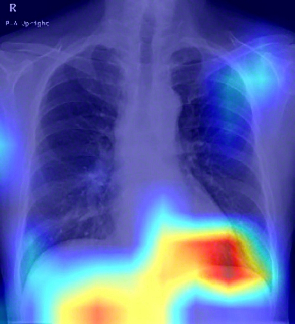
脂肪肝患者の胸部エックス線画像。AIモデルが脂肪肝の判別のためにより注目した部位が濃い赤で表示されている(大阪公立大学提供)

 健康診断で行われる胸部エックス線で、脂肪肝を判別できるAIの研究について紹介します。また、働く人の3人に1人が腰痛などの不調があるという調査や、高齢者のうつと…

この記事は会員限定です。これより先は聖教電子版への有料会員登録が必要です。

動画

SDGs✕SEIKYO

SDGs✕SEIKYO

連載まとめ

連載まとめ

Seikyo Gift

Seikyo Gift

聖教ブックストア

聖教ブックストア

デジタル特集

DIGITAL FEATURE ARTICLES デジタル特集

YOUTH

石油危機の影響で、トイレットペーパーや洗剤などの買い占めが起こり、社会問題になった(1973年11月)

劇画

劇画
  • HUMAN REVOLUTION 人間革命検索
  • CLIP クリップ
  • VOICE SERVICE 音声
  • HOW TO USE 聖教電子版の使い方
PAGE TOP